심장이 왼쪽→오른쪽 이동한 男…희귀 사례
유럽축구통신원 안경남 기자
수정 2014-05-08 11:19
입력 2014-05-08 00:00
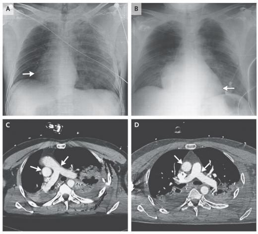
지난 7일(현지시간), 국제 의학학술지 뉴잉글랜드 저널 오브 메디슨(New England Journal of Medicine)에는 한 가지 희귀 의학사례가 보고됐다. 이탈리아에서 일어난 오토바이 교통사고로 응급실로 후송된 한 남성 환자(48)를 진찰하던 의료진이 맥박을 재려고 청진기를 남성의 가슴에 대었을 때, 보통 사람과 다른 부위에서 ‘쿵쿵’ 심장이 뛰는 소리가 들렸던 것.
의료진은 남성의 가슴부위를 엑스레이와 컴퓨터 단층 촬영장비로 찍어 내부를 살폈고 놀라운 광경을 목격했다. 이 남성의 심장이 가슴 중앙 왼편에서 정확히 90도 꺾어져 오른편으로 이동해있던 것이다.
처음에 의료진인 오토바이 사고로 몸이 격렬하게 뒤틀리며 심장위치가 이동한 것이 아닐까 추측했다. 하지만 세부 조사가 진행되면서 환자의 폐에 새로운 상처가 발견됐고 여기서 공기가 새어나오고 있었다. 의료진은 보고서에 기록하길, 폐에서 뿜어져 나오는 공기의 증강이 심장 위치를 바꾼 주요 원인으로 지목했는데 이후 남성 환자 가슴내부에 꽉 들어찬 공기가 배출된 후 24시간이 지났을 때, 심장위치는 정상적으로 돌아왔다.
이에 대해 미국 뉴욕 레녹스 힐 병원 흉부 외과 수술 전문의 그레고리 폰타나 박사는 “심장 뒷면과 동맥구조는 기본적으로 척추와 조직에 고정되어있지만 실질적으로는 공중에 떠있는 형상이기에 특정충격이나 공기주입 등의 변수로 이동될 가능성이 남아있다”며 “다만 선천적인 경우를 제외하고 정상인의 심장위치가 갑자기 변하는 경우는 처음 본다. 이 환자가 정상적으로 회복된 것은 정말 다행스러운 일”이라고 설명했다.
사진=New England Journal of Medicine
조우상 기자 wscho@seoul.co.kr
Copyright ⓒ 서울신문 All rights reserved. 무단 전재-재배포, AI 학습 및 활용 금지
