수정체까지 가진 ‘눈’이 있는 단세포 플랑크톤 발견
수정 2015-07-06 11:00
입력 2015-07-06 10:59
인기 만화 영화 '스폰지밥'에는 눈과 입, 그리고 팔다리가 달린 플랑크톤이 악역으로 출현한다. 물론 만화의 다른 주인공과 마찬가지로 이는 의인화 된 것이다. 불가사리나 해면동물처럼 플랑크톤에 인간 같은 눈이 있을 가능성은 없다. 인간을 비롯한 고등 동물의 눈은 매우 복잡한 기관이기 때문이다.
그러나 최근 과학자들은 이와 같은 생각이 우리 인간의 편견에 지나지 않는다는 증거를 발견했다. 브리티시 컬럼비아 대학의 연구자들이 저널 네이처에 발표한 내용에 의하면 놀랍게도 단세포 해양 플랑크톤 중에 잘 발달한 눈을 진화시킨 종류가 있기 때문이다.
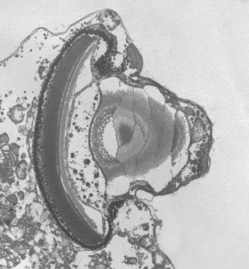
이들이 연구한 것은 단세포 편모류의 하나인 와편모조류(dinoflagellates)라는 해양 플랑크톤이다. 연구팀은 '워노이드'(warnowiid dinoflagellates)라는 단세포 동물에서 이상한 세포 소기관을 찾아냈는데, 처음에는 그 용도를 짐작하기 어려웠다. 그러나 이 세포 소기관을 분석하자 각막과 수정체, 그리고 망막에 해당하는 부분이 있다는 사실이 분명해졌다. 이 소기관은 사실 눈이었다.
물론 빛의 명암을 감지하는 능력이 있는 단세포 생물은 이전에도 보고가 있었다. 그러나 수정체까지 가진 복잡한 눈을 가진 단세포 생물의 발견은 이 분야를 연구했던 과학자도 대부분 예상하지 못했던 놀라운 일이다. 이 정도 복잡한 눈은 오랜 세월 다세포 동물 진화의 결과라고 생각했기 때문이다. 그런데 왜 이런 단순한 단세포 동물에 복잡한 눈이 필요한 것일까?
그 이유는 먹이를 효과적으로 잡기 위해서이다. 일단 먹이를 발견하면 이 작은 눈은 화학 신호를 통해서 어디에 먹이가 있는지를 알려준다. 더 놀라운 사실은 이 눈에 편광 필터가 있다는 것이다. 브리티시 컬럼비아 대학의 브라이언 린더(Brian Leander) 교수에 의하면 수 마이크로미터에 불과한 작은 수정체 안에는 여러 층의 필터가 겹쳐져 투명한 먹이를 찾는 데 도움을 준다고 한다.
때때로 자연의 경이는 인간의 상상을 뛰어넘는다. 이 작은 플랑크톤 역시 만화에서나 가능하다고 생각되던 일이 실제로도 가능하다는 것을 보여줬다. 인간의 자연의 경이를 모두 이해하려면 아직 한참 멀었다는 증거가 아닐까?
고든 정 통신원 jjy0501@naver.com
Copyright ⓒ 서울신문 All rights reserved. 무단 전재-재배포, AI 학습 및 활용 금지
