스마트폰에 목 꺾이는 아이들...”7살도 거북목”
수정 2015-10-22 11:40
입력 2015-10-22 11:29
-"환자 급증...50%가 아동과 10대"
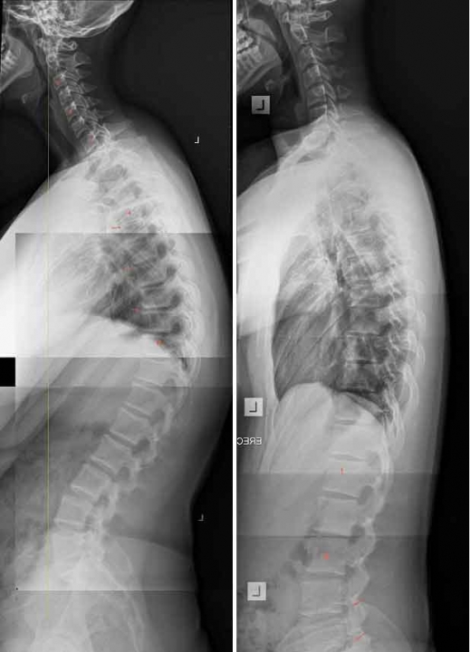
한 호주 의사가 과도한 스마트폰 사용으로 인해 목뼈가 휘어지는 증상인 이른바 ‘텍스트 넥’(text neck), 즉 '거북목 증후군'에 걸린 7살짜리 어린 환자의 X레이 사진을 공개해 사람들의 경각심을 불러일으키고 있다.
영국 일간 데일리메일은 17일(현지시간) 호주의 유명 척추 전문의인 제임스 카터와의 인터뷰 내용을 인용, 최근 성인들은 물론 어린이와 청소년 사이에서도 급속 확산되고 있는 텍스트 넥 증후군의 위험성을 소개했다.
카터가 공개한 사진은 그의 병원을 찾은 수많은 텍스트 넥 환자 중 한 명이었던 어린이의 것으로, 치료 전 후의 목뼈 상태가 크게 대조되는 모습이 잘 드러나 있다.
텍스트 넥이라는 용어는 문자 메시지를 의미하는 영단어 ‘텍스트’와 목을 뜻하는 단어 ‘넥’이 조합된 신조어로, 해당 증후군이 주로 스마트폰 사용으로 인해 유발된다는 점에 착안해 만들어진 것이다. 우리나라에서는 '거북목 증후군'으로 잘 알려져 있다. 이 증후군은 장시간에 걸쳐 스마트폰이나 기타 IT 기기를 사용하면서 고개를 숙인 뒤 앞으로 빼 바라보는 자세를 취함에 따라 발생한다.
카터는 전자기기 사용이 잦으며 자기 통제가 부족한 어린이들과 청소년들이 증후군에 걸리기 쉽다는 점을 강조했다. 카터는 “지난 2년간 텍스트 넥 증후군 환자가 놀랄 정도로 늘어났다”며 “이 중 50%는 저학년 아동들과 십대 청소년들 이었다”고 전했다.
텍스트 넥이라는 용어를 처음 사용한 미국 의사 케네스 한스라즈는 이렇게 고개를 숙이는 자세를 취할 경우 목에 가해지는 하중을 조사해 발표한 바 있다.
그에 따르면 인간의 머리는 일반적인 상황에서 4.5~5.5㎏정도의 하중을 목에 가하는데, 이 하중은 고개를 15도 기울일 경우 12㎏, 45도 기울이면 27㎏까지 증가해 목뼈에 큰 부담을 주게 된다.
-하루 평균 4시간 스마트폰...척추도 손상
그런데 최근 연구에 따르면 현대인들은 하루 평균 4시간 동안 스마트폰을 사용하는 것으로 알려졌다. 즉, 일 년에 약 1400시간 이상 스스로 목에 이토록 큰 무리를 가하고 있다는 의미가 되는 것.
이러한 습관으로 인해 끝내 텍스트 넥 증후군이 발생하면 환자는 다양한 부작용을 겪게 된다. 카터는 “스마트폰을 보기 위해 턱을 가슴 쪽으로 당기고 아래를 바라보는 자세를 반복적으로 취하면 척추와 뇌간(腦幹)이 늘어나게 된다”며 “이는 호흡과 혈압에 이상을 발생시킨다”고 설명했다.
이 현상은 또한 엔도르핀이나 세로토닌 등 ‘행복 호르몬’의 분비를 저해하며 이 경우 환자는 불안과 걱정을 느끼게 된다. 더 나아가 척추 손상이나 심한 두통이 유발될 가능성도 높다.
카터는 텍스트 넥을 방지하려면 우선 의자 및 침대에서 노트북이나 스마트폰을 사용하는 행동을 자제해야 하며 컴퓨터 모니터 화면을 눈과 비슷한 높이로 맞춰야 한다고 말한다. 그는 이어 주기적 운동과 자연스럽고 건강한 생활습관을 통해 이러한 피해를 최소화 할 수 있다고 조언했다.
방승언 기자 earny@seoul.co.kr
Copyright ⓒ 서울신문 All rights reserved. 무단 전재-재배포, AI 학습 및 활용 금지

![THE NEXT : AI 운명 알고리즘 지금, 당신의 운명을 확인하세요 [운세 확인하기]](https://imgmo.seoul.co.kr/img/n24/banner/ban_ai_fortune.png)
